Schöne Zähne, ein kräftiges Zahnfleisch und allgemeine Gesundheit ist die Belohnung für den investierten Aufwand
Zahnreinigung-Zentrum
Gesunde Zähne - strahlendes Lächeln - mehr Erfolg
Die Professionelle Zahnreinigung
.... ist viel mehr als nur Zahnstein entfernen!
Die professionelle Zahnreinigung ist kein verzichtbarer Luxus
den man "bei Gelegenheit durchführen lassen sollte" sondern ein unverzichtbarer Baustein der zahnmedizinischen Vorbeugung/Behandlung für gesunde Zähne, Zahnfleisch und dient der allgemeinen Gesundheit.
Auch bei bester häuslicher Mundpflege bleiben Beläge auf den Zähnen zurück - vor allem in den Zahnzwischen-räumen. Dort tummeln sich Millionen von Bakterien, die Karies, Parodontitis, unangenehmen Mundgeruch und diverse Krankheiten verursachen können.
Zahnbürste und Zahnseide haben ihre Grenzen, denn sie erreichen nicht die in den tiefen Zahnfleischtaschen hartgewordene Zahnbeläge und Bakterienherde.
Mit der PZR können auch tiefsitzende Zahnbeläge, sowie Bakterienherde in schwer zugänglichen Zwischenräumen und Nischen beseitigt werden.
Parodontose
und die daraus resultierenden
ernsten Erkrankungen
werden damit effektiv bekämpft und vorgebeugt.
Deshalb empfehlen wir die regelmäßige professionelle Zahnreinigung in unserem Prophylaxe Zentrum.
- Zahnstein beseitigen
- Eine gründliche entfernen der Beläge auch in den tiefen Zahntaschen
- Putz und Pflegetechnik optimal erlernen, dafür gibt es speziell ausgebildete Helferinnen, die zahnmedizinische Fachangestellte.
- Information und Motivation
- Hygiene- und Essverhalten verbessern
- Regelmäßige Begleitung durch die Prophylaxefachkraft
Lassen Sie uns doch mal putzen: Die professionelle Zahnreinigung!
(Parodontitis: tiefgehende Zahnfleischentzündung mit Beteiligung der Haltefasern und des Zahnhalteknochens)
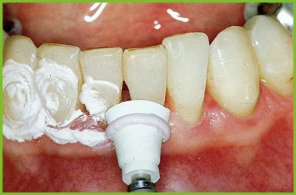
Gegen hartnäckige bakterielle Zahnbeläge - die Hauptverursacher von Karies und Parodontitis - kommt auch die gewissenhafteste häusliche Zahnpflege nicht immer an. Deshalb gibt es die professionelle Zahnreinigung. Mit ihr werden sämtliche harten und weichen Beläge sowie Bakterien auch in schwer zugänglichen Zwischenräumen und Nischen beseitigt.
Anschließend werden die gereinigten Zahnflächen mit einem Lack überzogen. Das schützt die Zahnoberflächen vor Säureattacken der Mundbakterien.
Karies und Zahnbetterkrankung werden damit effektiv vorgebeugt.(Parodontitis: tiefgehende Zahnfleischentzündung mit Beteiligung der Haltefasern und des Zahnhalteknochens)
Zahnpflege ergänzend zur professionelle Zahnreinigung
Die PZR ersetzt nicht die tägliche Mundhygiene zuhause. Tägliches Zähneputzen ist die Grundlage für Zahn- und Mundgesundheit und beugt bakterienbasierten Erkrankungen, wie Karies oder Parodontitis, vor.
Worauf sollte man bei der Zahnreinigung achten?
Nach dem Verzehr von Fruchtsäften oder sauren Speisen (auch Äpfel und Orangen z.B.) sollte man etwa eine halbe Stunde mit dem Zähneputzen zu warten. Sonst wird der durch die Säuren angelöste Zahnschmelz mit weggebürstet. Erst nach etwa 30 Minuten hat sich dieser durch den Speichel wieder stabilisiert.
Wie oft ist eine professionelle Zahnreinigung sinnvoll?
Wissenschaftliche Untersuchungen haben ergeben, das der Abstand von 6 Monaten die ideale Ergänzung zum gründlichen Putzen ist, um Zähne und Zahnfleisch gesund zu halten. Je nach individuellem Erkrankungsrisiko sind aber auch Abstände von 3 bis 4 Monaten nötig und sinnvoll.
Wissenschaftliche Untersuchungen haben ergeben, das der Abstand von 6 Monaten die ideale Ergänzung zum gründlichen Putzen ist, um Zähne und Zahnfleisch gesund zu halten. Je nach individuellem Erkrankungsrisiko sind aber auch Abstände von 3 bis 4 Monaten nötig und sinnvoll.


